DENTAL CROWN BEFORE AND AFTER

A smile capped with confidence

Dental crowns

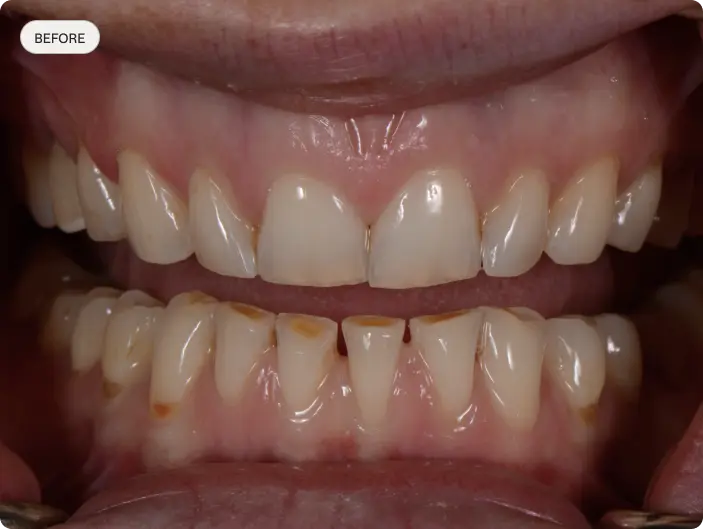
Image of a patient before dental crowns treatment.
before
Image of a patient after dental crowns treatment.
after
No items found.

Case Study Two

Concerns
  • DISCOLOURATION
  • OLD DENTAL WORK
  • ROOT TREATED TOOTH
Solution
  • DENTAL CROWNS
  • PORCELAIN VENEERS
  • EMAX ONLAYS
Treatment journey

Years of bruxism (teeth-grinding) had led to aggressive wear on her teeth — so much so that the protective enamel layer on her teeth had worn down, exposing the dentine underneath. This left our patient with painful tooth sensitivity. Her excessive teeth grinding had also caused collapsed vertical dimension or bite collapse, which, over time, could result in a sunken facial appearance and difficulties chewing.

To help restore tooth structure and correct her bite collapse, the treatment included a combination of dental crowns, porcelain veneers and Emax onlays. Now, she has a well-structured, balanced smile which will better support her facial structure and improve her oral function. The patient was also given professional guidance and tools to help her manage her bruxing and prevent future damage.

See more before and after dental crowns

Patient's dental crowns before treatment image.
before
Patient's dental crowns after treatment image.
after

Case Study One

See their story
Image of a patient before dental crowns treatment.
before
Image of a patient after dental crowns treatment.
after

Case Study Three

See their story

Your stunning smile
step-by-step

Step 1

Personal consultation

Discuss your dream smile and treatment options. You may even be able to see what your new smile will look like thanks to our Digital Smile Design technology.
Step 2

Try before you buy

With Dr Dunn’s Smile Test Drive, you may be able to try-in your new smile to get a real feel for the final result. No guesswork, just a gorgeous smile.
Step 3

A smile that reflects you

Get ready to glow with confidence as you step out and share your new wow-factor smile with the world.
Your stunning smile step-by-step

The Dr Dunn difference

With more than 25 years of cosmetic dentistry experience, Dr David Dunn is renowned for his bespoke porcelain veneers and dental implants. As one of the first dentists in Australia to offer dental implants, Dr Dunn is highly regarded for his expertise in this field. His clinical skill and mastery of facial aesthetics have seen him become one of Sydney’s most sought-after cosmetic dentists.

MORE ABOUT DR DUNN
Dr Dunn
Get yours here.

A smile you’ll want to show off.

close

All-On-4 Dental Implants Patient Guide

By clicking the button you agree to Terms&Conditions
send

Thank you! We've received your request

Your All-On-4 Dental Implants Patient Guide will be delivered directly to your inbox.
Oops! Something went wrong while submitting the form.