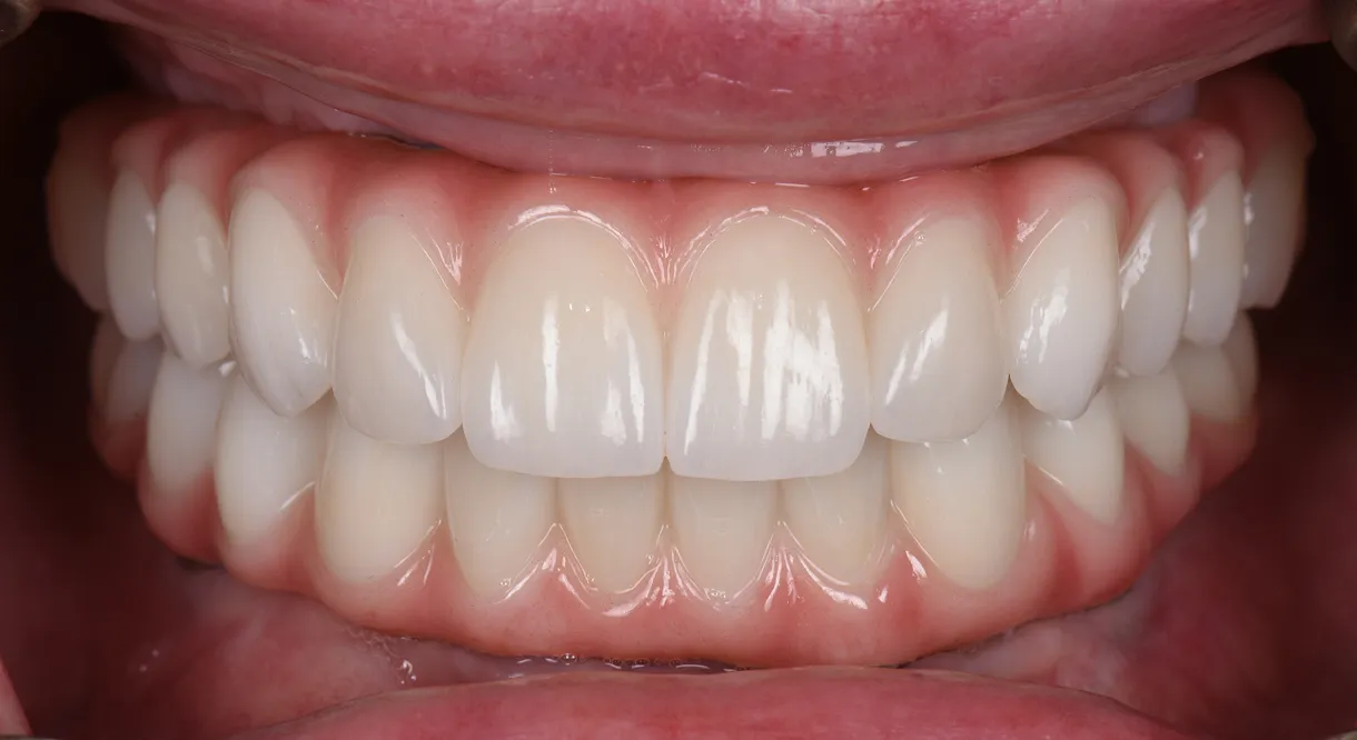
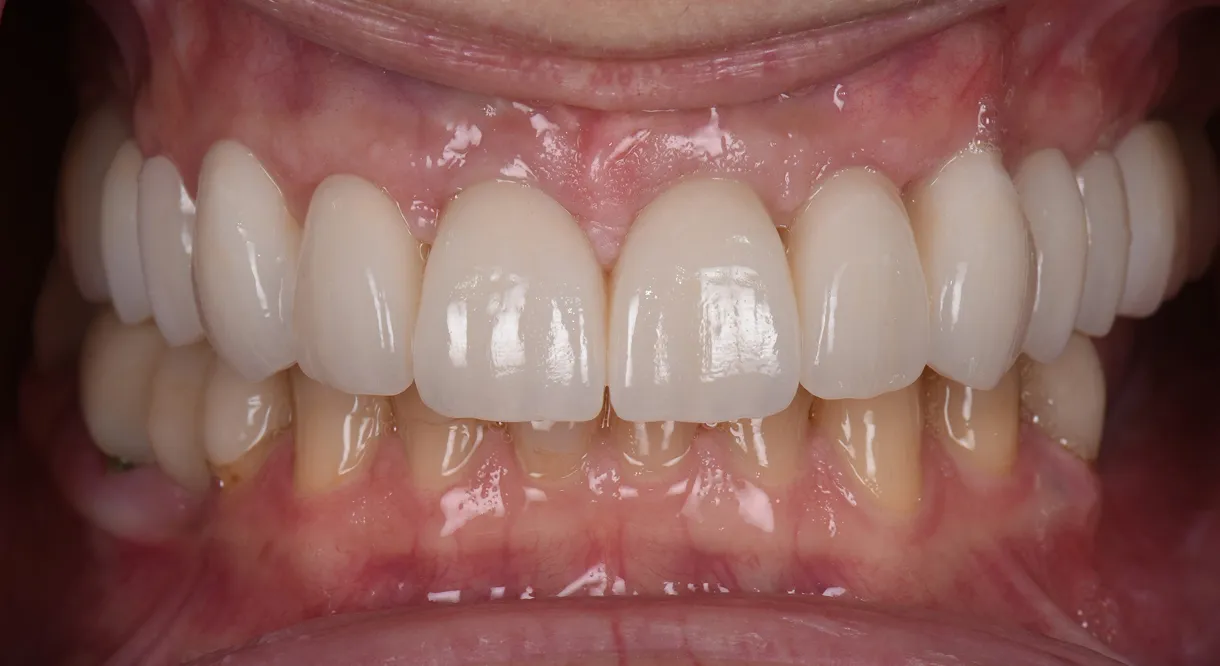
For All on 4 Sydney patients ready for something better, this is the next step. We’ve evolved the trusted all on four method to be more precise and more lifelike than ever before – using the latest technology to take results to the next level. All-on-4 Next Gen gives you a smile that looks real, feels natural, and preserves more of what’s already yours.





























