The truth about All on 4 bridge options: What you need to know before you choose

Dr Dunn
Dr David Dunn is a leading dental surgeon with over 20 years of experience in aesthetic and implant dentistry.
Dr David Dunn shows a model of an all-on-4 bridge to a patient at Macquarie Street Dental.

Whether you’ve already decided on an All on 4 solution or you’re still weighing up your options, choosing the right tooth bridge is one of the most important decisions you’ll make. The wrong choice could mean unexpected wear, costly repairs, or uncomfortable bulk — and that’s a stressful outcome when you’ve already invested time, money, and trust in the process.

In this blog, we'll explore the pros and cons of the three main types of All on 4 bridges: acrylic, zirconia on titanium, and zirconia on zirconia. We’ll also cover the different types of dental implant treatment and why we’re proud to be one of the few dental clinics in Australia to offer FP1 treatment.  

Key takeaways:

  • All-on-4 dental implants provide a fixed, full-arch alternative to dentures — with new teeth in as little as 1–3 days.
  • The bridge material matters: it affects comfort, aesthetics, bulk, and long-term performance.
  • Acrylic bridges are affordable but wear faster and can discolour.
  • Zirconia bridges are stronger and more aesthetic.
  • The ICE (zirconia-on-zirconia)bridge offers the most durable, biocompatible (gum-friendly) result.
  • FP3 is a style of dental bridge that replaces both teeth and a portion of the pink gum tissue. This has been the most common choice in Australia for All-on-4 restorations.
  • With FP1 bridges, the replacement teeth appear seamlessly from the gums with no pink fake gum tissue. It’s the closest, most lifelike resemblance to natural teeth.
  • New technology (X-Guide® and FastMap®) means FP1 is now available to more patients, with precise implant placement, faster healing, and same-day teeth in many cases.

If you’re considering getting All on 4 dental implants in Sydney, this is the deep dive you don’t want to miss.

Table of Contents

Read time:

Short on reading time?

Send this article to your Inbox to read on your schedule.
read later

Thank you!

Enjoy getting your teeth into this topic when it suits you.
Oops! Something went wrong while submitting the form.

What is an All-on-4 bridge?

An All-on-4 bridge is a full-arch, fixed dental prosthesis supported by just four dental implants. It can replace all missing or failing teeth in either the upper or lower jaw, offering a stable, natural-looking alternative to removable dentures.

Unlike traditional dentures, which rest on the gums and can shift or feel bulky, an All on 4 dental bridge is securely anchored to implants placed in your jawbone. These four titanium implants are strategically angled to maximise support and avoid the need for bone grafting in most cases.

The bridge itself looks, feels and functions as close to natural teeth as possible. Depending on the material used — acrylic, titanium, or zirconia — the outcome can vary in weight, strength, feel, and long-term performance.

At Macquarie Street Dental, we’ve seen firsthand how transformative the All-on-4 procedure can be. Whether it’s regaining confidence, restoring chewing ability, or simply being able to laugh without hesitation, the All on 4 fixed bridge offers a life-changing result — all with fewer implants, faster recovery, and a natural-looking new smile.

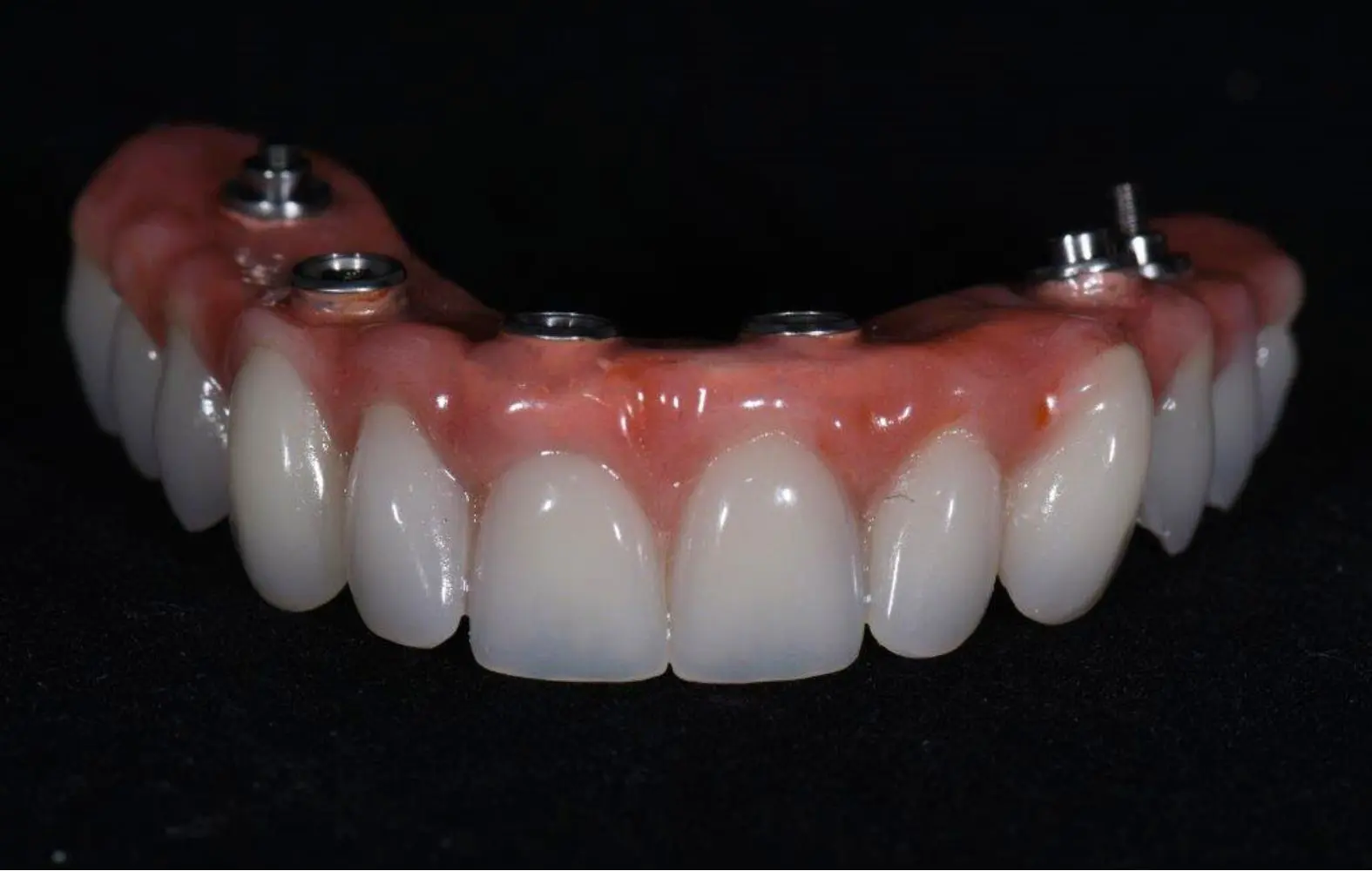
Image of an all-on-4 bridge for upper and lower arches
An all-on-4 bridge is a full-arch, fixed dental prosthesis supported by just four dental implants.

What are the different types of All-on-4 bridges?

When it comes to All-on-4 dental implants, the implants themselves are only part of the story. The type of dental bridge can significantly affect the look, feel, and durability of your new smile. 

At Macquarie Street Dental, we offer three bridge options: traditional acrylic bridge, the stronger All on 4 zirconia bridge, and the next-generation ICE bridge, made entirely from zirconia; a material known for being incredibly strong and highly natural-looking.

Let’s break down the pros and cons of each to see how All-on-4 bridges compare.

1. Acrylic bridge on titanium bar

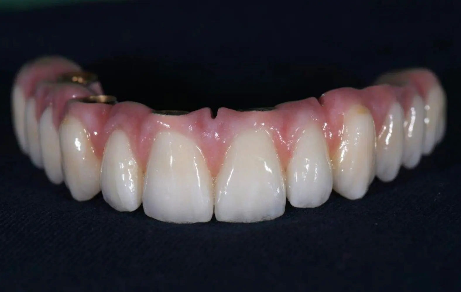
Image of an all-on-4 acrylic bridge.
Acrylic all on 4 bridges are a more affordable option but it is prone to staining and wear due to the porous nature of the material.

This uses an acrylic (plastic-like-material) to recreate the teeth and pink gum portion, which is then mounted on a custom-milled titanium frame.

Acrylic on titanium bridge – Pros Acrylic on titanium bridge – Cons
More affordable option Quality degrades over time from staining and wear
Lightweight material Less natural looking
Teeth can be repaired or replaced Porous material may trap bacteria and absorb odours

2. Zirconia bridge on titanium bar

Image of an all-on-4 zirconia bridge.
Zirconia all-on-4 bridges are long-lasting and more natural looking. They match the colour and translucency of your natural teeth.

This type of fixed bridge replaces the acrylic teeth with zirconia — a strong, non-porous ceramic material. The underlying support frame is still titanium.

Zirconia on titanium bridge – Pros Zirconia on titanium bridge – Cons
Strong, long-lasting Higher cost than acrylic
Resistant to staining and wear Difficult to repair or adjust
More natural-looking than acrylic. Can be stained and shaded to closely match the color and translucency of your natural teeth.

3. ICE bridge:  zirconia on zirconia

Unlike older bridges that use acrylic or titanium, the ICE All-on-4 bridge uses zirconia for both the teeth and the supporting frame.The ICE bridge is  an excellent upgrade option for patients who’ve previously had an acrylic bridge and are seeking improved comfort, aesthetics, or speech.

Zirconia on zirconia bridge – Pros Zirconia on zirconia bridge – Cons
Extremely strong, helping your new teeth withstand daily biting and chewing. Premium investment (but longer-term value)
Natural looking, built-in colour gradients and translucency mimic the way real teeth catch the light.
Highly biocompatible, non-metallic material that minimises allergic reactions, sensitivities, and gum inflammation.

All-on-4 dental bridges: Quick comparison

Feature or benefit Acrylic on titanium Zirconia on titanium Zirconia on zirconia
Fixed, full arch solution ✔️ ✔️ ✔️
Replaces removable dentures ✔️ ✔️ ✔️
Same day provisional bridge ✔️ ✔️ ✔️
Natural look and feel ✔️ ✔️
High strength and durability ✔️ ✔️
Doesn’t discolour ✔️ ✔️
Ability to repair or adjust ✔️
(replace acrylic)
✔️
(restain or modify)
Most biocompatible (gum friendly) ✔️

What’s the difference between FP1, FP2 and FP3 full-arch implant restorations?

When researching full-arch dental implants, you’ll likely hear the terms FP1, FP2, and FP3, but what do they actually mean?

In implant dentistry, restorations are classified as FP1, FP2, or FP3, depending on how much of the natural anatomy (teeth and gums) they replicate. FP stands for Full Prosthetic.

  • FP1: Replaces just the visible tooth crows. No pink porcelain is used to replicate gum tissue. The replacement teeth appear to emerge directly from the gums. This looks and feels the most natural but requires healthy or reshaped gum tissue to achieve an ideal aesthetic result.
  • FP2: Replaces teeth with some extension into the gum line (typically for longer teeth or minor tissue loss). It still focuses on teeth but adds more support where needed.
  • FP3: Replaces both teeth and a portion of the pink gum tissue. This is the most common style for fixed full-arch implants, especially where there is significant gum recession or bone loss.
Photo comparison of an all-on-4 treatment and FP1 treatment offered at Macquarie Street Dental.
FP1 offers a more natural look and feel because there is no artificial gum, which means that no gum or bone needs to be removed.

In Australia, nearly all All-on-4 treatment cases use an FP3 prosthesis. This involves peeling back the gums and removing up to 1 cm of bone in the upper jaw (a process called alveolectomy) to fit the prosthesis under the lip line. This approach has long been regarded as the most reliable and predictable way to restore a full arch of teeth, making it an excellent solution for many patients. 

The trade-off, however, is that the prosthesis includes artificial gum, which can sometimes feel bulky in the mouth.

FP1, by contrast, offers a more natural look and feel because there is no artificial gum. But until recently, it was only viable for a small number of patients with ideal bone and gum anatomy. Even then, the cost put this treatment approach out of reach for most.

Today, that’s changed. With new technology, FP1 can be offered more predictably and to more patients, making it a genuine alternative to FP3.

Occlusal photo comparison of an all-on-4 treatment and FP1 treatment completed at Macquarie Street Dental.
At Macquarie Street Dental, we’re proud to be one of the only clinics in Australia offering FP1-style dental implant restorations.

Why our Sydney clinic is one of the few offering FP1 dental implant treatment

At Macquarie Street Dental, we’re proud to be one of the only clinics in Australia offering FP1-style dental implant restorations. This advanced approach is made possible by two world-leading technologies, X-Guide® and FastMap®, which make this type of treatment accessible to more people.

1. X-Guide®: GPS-like precision for dental implant placement 

With X-Guide, every implant is placed with sub-millimetre precision, mapped to the position of your future smile for the most natural fit. For patients, that means:

  • Accurate implant placement for a secure fit and natural feel
  • Minimal tissue damage for faster healing and a more comfortable recovery
  • Absolute precision, protecting nerves, sinuses, and bone
Dr David Dunn uses the X-Guide to ensure maximum precision when doing dental implants placement at Macquarie Street Dental.
With X-Guide, every implant is placed with sub-millimetre precision, mapped to the position of your future smile for the most natural fit.

2. FastMap®: Same-day All-on-4 teeth, perfect fit 

With FastMap your bridge design is fine-tuned in real time during surgery. Your first set of teeth are created on site, while you’re still in the chair. The benefits are:

  • Same-day teeth. No awkward wait without a smile
  • Designed around your gum line for a precise fit, helping speech and function feel natural as you heal
  • The most lifelike smile available today
My goal has always been to give patients the least invasive solution: one that preserves as much natural gum and bone as possible. With the FP1 approach, this is a reality for more patients.” — Dr David Dunn

A key benefit of FP1 treatment is that no gum or bone needs to be removed. This more conservative approach supports faster healing, quicker recovery, and a smooth return to normal life. There’s also no ‘fake’ gum for your tongue to fuss over for a more comfortable, lifelike result.

Am I eligible for FP1 treatment?

You may be eligible for FP1 full-arch implant treatment if you:

  • Have sufficient jawbone volume, or can achieve it through bone grafting
  • Show stable gum tissue, or are suitable for soft tissue augmentation
  • Prefer a less invasive approach that preserves bone and supports a more natural, lifelike smile
  • Want a lighter, more refined result that closely mimics real teeth

When is a traditional All-on-4 bridge (FP3) more appropriate?

In cases where there’s significant bone or gum loss that can’t be corrected, a gum-replacing FP3-style bridge may still be the best choice. These bridges are designed to restore the full dental arch, including the gum line, and remain a stable, functional solution.

Precision and comfort — no matter which implant-supported bridge you choose

Whether you choose acrylic, zirconia, or the ICE bridge, all implant surgeries at Macquarie Street Dental are performed using the latest X-Guide and FastMap digital planning technologies.

That means:

  • Every implant is placed with extreme accuracy — protecting vital structures like nerves and sinuses
  • Longer, more stable implants can be used where appropriate
  • Most patients receive their replacement teeth at the time of surgery, or at the latest, the following day

You don’t need to choose the most premium bridge to benefit from a safer, more accurate, and faster treatment. We apply the same precision and care across every case.

{{cta}}

Ready to take the next step? 

Choosing an All on 4 dental bridge is a big decision — and at Macquarie Street Dental, we combine world-class technology, advanced surgical skill, and genuine care to ensure your new smile feels like you again.

Whether you're replacing multiple teeth, exploring alternatives to removable dentures, or seeking the most natural-feeling full arch solution available today, we're here to help.

Book a FREE consultation with me, Dr David Dunn, to discuss what’s right for you. I’ll answer your questions, explain the dental implant treatment process, and help you make an informed choice about your future replacement teeth — no pressure, just honest, expert advice. Book online today.

Dr David Dunn analyses the patient scans carefully to advise on the best teeth replacement option.
At Macquarie Street Dental, we combine world-class technology, advanced surgical skill, and genuine care, regardless of the treatment.

FAQs

What’s the best All on 4 tooth bridge material?

It depends on your priorities. Acrylic is affordable but less durable. Zirconia offers strength and aesthetics. The ICE bridge — made from zirconia on zirconia — is the most advanced and natural-looking option, delivering superior comfort, natural feel, and long-term flexibility.

How much does an All on 4 bridge cost?

The cost of All-on-4 dental implants typically ranges from $18,000 to $35,000+, per arch, depending on material and case complexity. The ICE bridge is at the premium end, around $44,000, but offers exceptional long-term value.

To make treatment more accessible, Macquarie Street Dental has partnered with SmileFund, allowing All-on-4 patients to borrow up to $70,000 with 24 months interest-free. You can also explore our full range of All-on-4 payment plans, or check if you’re eligible to access your Super for dental.

Do I get teeth on the same day?

With FP3-style All-on-4 treatment your prosthetic is fitted onto your fixtures within one to three days after surgery. In FP1 treatments, same-day teeth are possible for most patients.

How do I look after my All on 4 dental bridge?

All-on-4 cleaning is much like looking after natural teeth. It requires daily brushing, flossing (or using interdental brushes), and regular dental check-ups.

The ICE bridge can also be re-stained or refined over time — keeping your smile looking and feeling great for the long haul.

All on 4 dental implants patient guide

A new smile. Seriously life-changing benefits

Dr Dunn
Dr David Dunn is an internationally recognised expert with over 20 years of experience in the All-on-4 procedure. He holds a BDS (Hons) from the University of Sydney and is a Fellow of the Royal Australasian College of Dental Surgeons (FRACDS) and the Pierre Fauchard Academy. He is also a faculty member of the prestigious gIDE/UCLA Master Clinician Program, the founder and past chair of the Osseointegration Society of NSW, and a published author in the International Journal of Prosthodontics.
close

All-On-4 Dental Implants Patient Guide

By clicking the button you agree to Terms&Conditions
send

Thank you! We've received your request

Your All-On-4 Dental Implants Patient Guide will be delivered directly to your inbox.
Oops! Something went wrong while submitting the form.
close

All-On-4 Dental Implants Patient Guide

By clicking the button you agree to Terms&Conditions
send

Thank you! We've received your request

Your All-On-4 Dental Implants Patient Guide will be delivered directly to your inbox.
Oops! Something went wrong while submitting the form.