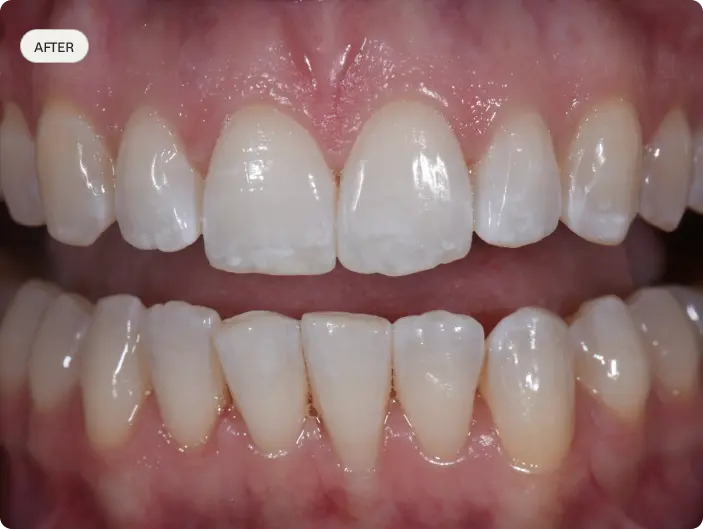
With more than 25 years of cosmetic dentistry experience, Dr David Dunn is renowned for his bespoke porcelain veneers and dental implants. As one of the first dentists in Australia to offer dental implants, Dr Dunn is highly regarded for his expertise in this field. His clinical skill and mastery of facial aesthetics have seen him become one of Sydney’s most sought-after cosmetic dentists.










